The Junction Family Dental
General Dentistry
Orthodontics
Kid's Dentistry
Smile Gallery
  • Meet The Team
  • Patient Testimonials
  • Your First Visit
  • Payment & Insurance
  • Map & Directions
Contact Us
Request Appointment
1491 Flatbush Ave, Brooklyn, NY 11210
(718) 451-1890
Hours
Make A Payment Careers
The Junction Family Dental
(718) 451-1890
Make A Payment Careers
Smile Makeovers Veneers Teeth Whitening Tooth-Colored Fillings Bonding Wrinkle Reduction
Root Canals Crowns Bridges Crown Lengthening Tooth Extractions Sedation Dentistry Jaw Pain
Oral Exam Home Care Tips Gum Disease Scaling / Planing Sealants Dental FAQs
Flexible Dentures Full Arch Dentures Partial Dentures Single Tooth Dental Implant Multiple Tooth Implants
Orthodontics
Kid's Dentistry
Smile Gallery
Meet The Team Patient Testimonials Your First Visit Payment & Insurance Map & Directions
Contact Us
Request Appointment

Implant Options

There are many different functions and types of dental implants depending upon a patient’s needs and resources.

Here at New York Family Dentistry we specialize in providing our patients with long lasting, comfortable, esthetic and affordable
Dental Implant Options.

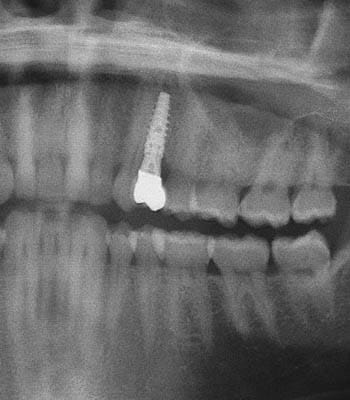
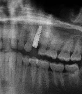
Dental implants are a titanium "root" which can be placed into the jawbone. Once integrated with your bone, the implant can be used to support a crown, a bridge, or secure a complete denture. Dental implants may be used to eliminate partial plates and dentures. The success rates for dental implants are extremely high which is due in part to the fact that root-form implants are made of a biocompatible material, titanium.

Single Tooth Replacement

Implant Bridge

Implant Denture

Implant Full Arch

Below are a few examples of what DENTAL IMPLANTS can do for you and your smile!

Full Arch Implant Bridge

Single Tooth Replacement

Teeth In A Day

Address

The Junction Family Dental

The Junction Braces

The Junction Kids Dental

1491 Flatbush Ave, Brooklyn, NY 11210

The Junction Family Dental
1491 Flatbush Ave
Brooklyn, NY 11210
View Interactive MapView Larger Map
Google Map For The Junction Family Dental

Office Hours

Monday: Closed
Tuesday: 10:00 am - 6:00 pm
Wednesday: Closed
Thursday: 10:00 am - 6:00 pm
Friday: Closed
Saturday: Closed
Sunday: Closed

Contact

(718) 451-1890
Email Us
Request Appointment

Service

Cosmetic Dentistry Restorative Dentistry Preventive Dentistry Orthodontics Kid's Dentistry Dentures / Dental Implants

Cosmetic Dentistry

Smile Makeovers Veneers Teeth Whitening Tooth-Colored Fillings Bonding Wrinkle Reduction

Restorative Dentistry

Root Canals Crowns Bridges Crown Lengthening Tooth Extractions Sedation Dentistry Jaw Pain

Preventive Dentistry

Oral Exam Home Care Tips Gum Disease Scaling / Planing Sealants Dental FAQs

Orthodontics

Invisalign Braces Ortho Appliances

Kid's Dentistry

Child's First Visit Childhood Caries Kid's Dentistry FAQs

Dentures / Dental Implants

Flexible Dentures Full Arch Dentures Partial Dentures Single Tooth Dental Implant Multiple Tooth Implants

About

Our Team Make a Payment Careers Contact Us
Connect with us
Visit our Facebook Page
Follow us on Twitter
See our YouTube channel
See our Google Map
Better Business Bureau
Infostar Productions Logo
Infostar Productions LLC
Privacy Policy Site Map Accessibility